Aneurisma apical. Evaluación con TC multicorte
Objetivo didáctico: evaluar el paciente con aneursima ventricular mediante tomografía computada multicorte.
Material enviado por el Dr Guillermo Ganum. Fundación Favaloro. Buenos Aires.
Cuadro clínico:
Paciente de sexo masculino de 69 años.
Factores de riesgo: dislipémico y ex-tabaquista.
Antecedentes: IAM silente 9 años antes.
Consulta derivado por estudio de perfusión miocárdica reposo/esfuerzo solicitado por evaluación prequirúrgica, que mostró isquemia moderada anteroapical a alta carga ergométrica, con episodio posterior de sudoración profusa y malestar general.
[swfobj src=»http://www.sscardio.org/wp-content/uploads/mulet1.swf»]
Coronariografía. Inyección de la arteria coronaria izquierda (frontal axializada) Se observa la oclusión de la arteria descendente anterior luego de la primera rama diagonal, que presenta lesión moderada. Se observan dos ramos septales muy desarrollados. Lesión leve ostial de la arteria circunfleja.
[swfobj src=»http://www.sscardio.org/wp-content/uploads/2009/mulet2.swf»]
Ventriculograma izquierdo en Oblicua anterior derecha e izquierda. Aneurisma apical de cuello estrecho

Imágenes volumétricas del corazón y las arterias coronarias obtenidas con Aquillion 64 de Toshiba
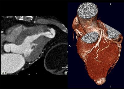
A la izquierda vista craneal, donde se elimina la arteria pulmonar permitiendo visualizar el tronco de la arteria coronaria izquierda, la oclusión de la descendente anterior.
A la derecha la vista caudal. En ambas vistas el apex del VI se encuentra deformado por el aneurisma apical

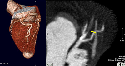
Detalle de la oclusión de la arteria descendente anterior

Detalle de la oclusión de la arteria descendente anterior

Ventriculograma izquierdo por TC multicorte. Cavidad ventricular en reloj de arena, aneurisma apical de cuello angosto. El diagnóstico diferencial con el pseudoaneurisma ventricular es dificultoso.
[swfobj src=»http://www.sscardio.org/wp-content/uploads/2009/mulet7.swf»]
Vista dinámica del ventriculograma con vista de dos cámaras y el detalle ampiado del apex. Impresiona la obliteración completa de la cavidad ventricular a nivel distal durante la sístole, con deformidad y marcado adelgazamiento del ápex aneurismático.
[swfobj src=»http://www.sscardio.org/wp-content/uploads/2009/mulet8.swf»]
Ventriculograma en oblicua anterior derecha.
[swfobj src=»http://www.sscardio.org/wp-content/uploads/2009/mulet9.swf»]
Eje corto del ventrículo izquierdo a nivel de los músculos papilares. Motilidad normal.
[swfobj src=»http://www.sscardio.org/wp-content/uploads/2009/eje_apical.swf»]
Barrido en eje corto del apex del ventrículo izquierdo (Duración 35 segundos). Durante sucesivos latidos el corte se desplaza hacia el ápex, demostrando la disquinesia y el severo adelgazamiento parietal. Haga click en la flecha para reiniciar